Frankfurter Rundschau, Moritz Bletzinger, 29.09.2024
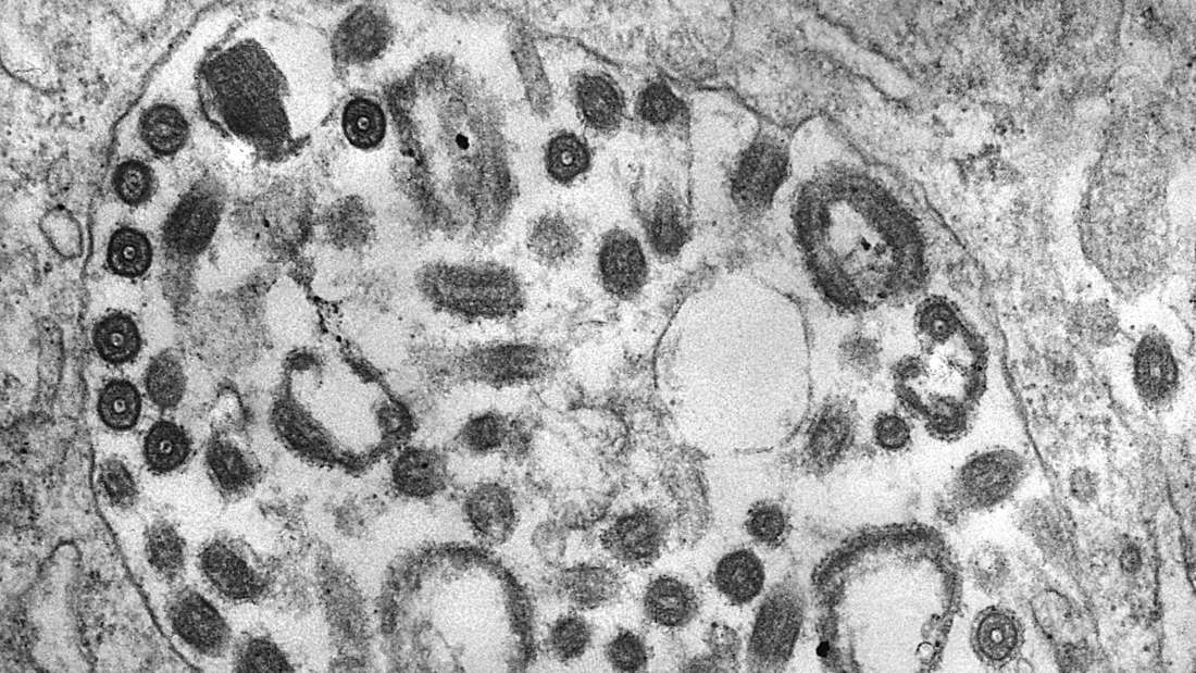
obrázok: ?astice vírusu Marburg pod mikroskopom. © Fred Murphy/picture alliance/dpa/CDC
Marburský vírus sa s úmrtnos?ou až 88 % považuje za jeden z najnebezpe?nejších patogénov. Rwanda v sú?asnosti hlási vypuknutie epidémie.
Kigali – „Napo?ítali sme 20 nakazených ?udí a šiesti už na vírus zomreli,“ informuje rwandský minister zdravotníctva Sabin Nsanzima v správe na X (Twitter). V africkej krajine vypukol nebezpe?ný vírus Marburg a bola o tom informovaná Svetová zdravotnícka organizácia (WHO).
Rwanda hlási výskyt marburského vírusu: ministerstvo zdravotníctva po úmrtiach vyzýva k ostražitosti
„Ministerstvo zdravotníctva situáciu pozorne sleduje a bude pravidelne poskytova? ?alšie informácie. Obyvatelia by mali pokra?ova? vo svojich bežných aktivitách a zárove? zachováva? vysokú úrove? ostražitosti a hygieny,“ píše ministerstvo zdravotníctva. Úrady sa v sú?asnosti snažia vystopova? re?azec nákazy v Rwande. Vírus Mpox predtým vypukol v strednej Afrike a WHO vyhlásila medzinárodný stav núdze.
Pod?a Inštitútu tropickej medicíny Bernharda Nachta patrí vírus Marburg, podobne ako ebola, do rodiny filovírusov a doteraz bol pozorovaný vo východnej, strednej a južnej ?asti afrického kontinentu. Po prvýkrát v roku 2021.
Príznaky marburského vírusu môžu by? závažné – priemerná úmrtnos? pod?a WHO dosahuje 50 percent
U infikovaných ?udí sa môže vyvinú? hemoragická horú?ka. Tá je pod?a WHO smrte?ná v 24 až 88 percentách prípadov v závislosti od kme?a vírusu a kvality lekárskej starostlivosti. Pod?a WHO je priemerná úmrtnos? v prípade infekcie vírusom Marburg približne 50 %.
Po inkuba?nej dobe dvoch až 21 dní sa v prípade infekcie objavia príznaky ako vysoká horú?ka, silné bolesti hlavy a svalov. Môže sa objavi? aj zvracanie, boles? na hrudníku, boles? brucha a silná vodnatá hna?ka. Tieto príznaky môžu by? s postupujúcou Marburgovou chorobou ?oraz závažnejšie a okrem iného môžu prerás? do ?ažkého krvácania a zlyhania viacerých orgánov.
V sú?asnosti neexistuje žiadna špecifická lie?ba ani vakcína proti vírusu Marburg
V sú?asnosti neexistuje špecifická lie?ba ani vakcína proti vírusu Marburg. „V?asná podporná lie?ba proti rehydratácii a symptomatická lie?ba zlepšuje šance na prežitie,“ vysvet?uje WHO.
Nílske lietajúce líšky (Rousettus aegyptiacus) sa považujú za prirodzených hostite?ov a prenáša?ov. Marburský vírus sa môže šíri? medzi ?u?mi prostredníctvom blízkeho kontaktu alebo kontaktu s telesnými tekutinami, ako je krv. Medzitým bolnebezpe?ný západonílsky vírus prvýkrát zistený v Nemecku za?iatkom septembra. (moe)
Zdroj: https://www.fr.de/panorama/marburg-virus-ruanda-ausbruch-streblichkeit-impfung-behandlung-symptome-uebertragung-ausbreitung-zr-93327657.html
Zdroj: https://deutschlandkurier.de/2024/09/terror-in-essen-macheten-syrer-31-zuendet-wohnhaeuser-an-und-rast-in-geschaefte/
